野ぶどう(ノブドウ・野葡萄)は、ブドウ科ノブドウ属(落葉つる性)の植物で学名を「Ampelopsis brevipedunculata」といい、別名をイヌブドウ・ウマブドウ・カラスノブドウなどといいます。
北関東や東北地方では、この野ぶどうエキスに強い強肝作用があると言い伝えられ、 古くから肝臓病に悩む人達に愛用されてきた民間伝承薬です。
重い肝臓病につきものの全身倦怠、食欲不振、吐き気、嘔吐などの症状の改善が認められました。 野ブドウエキスが肝臓病に有効性を立証したのは、私の恩師「関湊」獨協医科大学理事長(故人)・獨協医科大学組織培養研究センター「勝田甫」 教授(故人)・同 「高岡聡子」 助教授(故人)です。
成人病といいますと、高血圧症・脳血管障害・ガン・糖尿病などが思いつかれるでしょう。その中で最近特に増えているのが肝臓病で21世紀の病気ともいわれています。その原因はウイルス、肥満、ストレス、アルコールの多飲が原因と考えられ、 特にアルコール性肝障害は着実に増えています。 (図2)
【アルコールの90%を肝臓は分解・解毒します。 その為に飲めば飲むほど肝臓は余分に働かなければなりません】
『一般的に肝臓の1日の分解・解毒能力は、日本酒でいうと3合位といわれています。 それをこえて5合以上を10年間、3合以上を15年間飲み続けると肝硬変になるといわれています。』肝臓に脂肪が1/3以上蓄積した状態を脂肪肝といいます。酒の飲み過ぎでできるのがアルコール性脂肪肝です。 同じ脂肪肝でも一般的に肥満などでおこる脂肪肝からは肝硬変へ移行しにくいのですが、アルコール性脂肪肝は肝細胞が壊死を起こす為に肝硬変になりやすくまた、アルコール性肝炎も同じ様なことが起こります。
沈黙の臓器『肝臓』をいかに保護するか!!
日頃の生活習慣が大切です。しかし…
肝細胞に沈着する脂肪のかたまり(脂肪滴)は禁酒すると消失するともいわれていますが、実験の結果では野ぶどうエキスの服用により、より早く脂肪滴が消失することもわかっており予防効果もわかっています。 臨床例で調べた結果では肝障害23例を対象にして1ヶ月間の投与をしたところ(図3)に示した様に「GPT・γ-GTP・LDH」は明らかに改善しました。
ラットの肝細胞に脂肪滴(脂肪肝の始まり)を人工的に作り、それに対して、「野ぶどうエキス」を与えたラットの肝細胞図(図4)
成人病予防するには生活改善を!!
運動とバランスの良い食事が血管を元気にする
動脈硬化の三大危険因子に高血圧・高脂血症・喫煙があげられます。その他に糖尿病も要因として重要です。 その一つ高脂血症とは血液中の脂肪分、つまりコレステロールや中性脂肪が高い状態をさします。 中性脂肪がたまりすぎると動脈硬化を引き起こし、 狭心症、心筋梗塞の原因となります。 また、糖尿病も動脈硬化を引き起こします。
高脂血症や糖尿病になる原因は、たくさんありますが、アルコールや糖質などカロリーのとりすぎが大きな原因です(図5)。
これらに対しても野ぶどうエキスの有効性が報告されていますし、動脈壁の線維性変化の予防や治療としても期待が持たれています。
そっとしのびよる「脂肪肝・動脈硬化」があなたの健康を蝕んでいるかもしれません。
生活改善を行い成人病予防!!
最近、体脂肪の話が良く出ますが、太っているから肥満とは限りません。特に問題なのは、体の中の臓器に脂肪がついてしまった内臓脂肪肥満型です。余分なエネルギーはまず肝臓に脂肪として蓄えられます。肝臓の脂肪蓄積の限度を超えますと内臓に脂肪沈着が始まり動脈の壁にコレステロールとともに中性脂肪が沈着し動脈硬化の原因にもなります。成人病の始まりです。
「野ぶどうエキス」に見る、生薬的効果
肺の細胞に活力を!!
野ぶどうの 「抗線維性効果」 は、すでに肝臓の病気で証明されていますが肺の病気で見てみますと、代表的な慢性疾患で肺の組織や胚細胞が壊れる「肺線維症・肺気腫」 に野ぶどうエキスは、 非常に効果があることがわかってきました。肺細胞の老化を防ぐ効果があるようです。
事実、野ぶどうエキスを試した結果、息切れが軽減されたり、食欲が増えた患者さんがいました。
図6に示したのは、肝細胞のコラーゲン線維形成を阻害(阻止)している状況を顕微鏡で見たものです。
身体(細胞)を生き生きとするには… 老化現象の防止と細胞の活性化
肺疾患の中で間質性肺炎が増えています。 肺胞と肺胞の間の隔壁に炎症が起きる病気です。 線維性病変が生じると線維化が起こり、肺が固くなり伸びにくくなり呼吸が苦しくなる肺線維症になります。 原因として細菌、ウイルス、じん肺などがありますが、多くはわかっていません。
「肺細胞の線維化」に対し野ぶどうエキスは、肺におけるコラーゲン線維を増えるのをおさえたり、 「抗菌効果、及び抗炎症効果」が相乗し肺の線維症に対して効果があると考えられています。
今後、治療の一つとして、野ぶどうエキスの肺における「抗線維性効果」の期待が持たれています。
野ぶどうエキスの様々な効果。 相乗した効果が思わぬ効果を発揮する!!
野ぶどうエキスには、臓器保護の効果とあわせて利尿効果が明らかになっています。また、抗菌効果、抗炎症効果なども明らかになっています。
いずれも、野ぶどうエキスには様々な成分が含まれて、どの成分が効力を発するかは不明ですがしばしば生薬に見られるような効果を持っています。また採取場所には関係なく均一な効果が見られ非常にマイルドな効果を発します。
特にこれといった副作用は見られていません。
野ぶどうエキスの肺線維化(間質性肺炎)に対する
マウス動物試験。
=野ぶどうエキスの肺線維化抑制効果を評価する=
現在のところ、慢性肝疾患や肝硬変症に対する確固たる治療法はなく、対症療法が行われているのが実情である。
獨協医大の勝田らは、東北地方の民間薬であるAmpelopsis(ノブドウ)の実のアルコール抽出液が、肝臓病に効果があることを基礎的に検討し、ノブドウ抽出液が線維形成阻害効果を有することを明らかとした。次いで鈴木らは、ノブドウ抽出液の線維形成阻害効果が、肝硬変に有効であろうと推定した。また、高岡らは、ノブドウ抽出液のコラーゲン線維形成抑制作用は、ノブドウの実のみならず葉、茎にも存在することを報告し、さらにアルコール性脂肪肝にも有効であることを示唆した。 筆者の中元らは、それまでアルコール性肝障害患者におけるノブドウ抽出液の確固たる臨床報告例はなかったが、ノブドウ抽出液がアルコール性肝障害を明らかに改善することを報告している。
一方、線維化肺においては細胞外基質の代謝、構造、分布が著明に変化し、その結果、コラーゲン、エラスチン、プロテオグリカン、フィブロネクチンなどの産生・増加がみられる。 このうち、コラーゲンにおいては元来、肺の間質部や基底膜に存在し、線維化肺では著明に集積・増加し、悪化への要因となる。 ノブドウ抽出液の抗線維性作用が、肺の線維性病変の代表的疾患である間質性肺炎に対する有効性を推察し、その後、間質性肺炎患者へのノブドウ抽出液の臨床的有効性を報告した。 すなわち、ノブドウは細胞の硬化が原因となる肝硬変、間質性肺炎(肺線維症)、肺気腫(肺胞壁の破壊・硬化による)、動脈硬化症、さらに脂肪の蓄積が原因となるアルコール性肝障害や脂肪肝の治療のサプリメントとしても期待される。
ノブドウはブドウ科の植物で学名を 「Ampelopsis brevipedunculata」といい、別名をウマブドウという。 北関東や東北地方では、このノブドウ抽出液に強肝作用があると言い伝えられ、古くから肝臓病に悩む人たちに愛用されてきた民間伝承薬である。その効果は肝硬変、肝癌やその他の重篤な肝臓病による全身閨怠感、食欲不振、吐き気、嘔吐など自覚症状の改善にあったが、最近では肝障害の原因となっている病因に対する有効性も証明されている。 種々の基礎的研究により、ノブドウ抽出液は抗脂肪肝作用に加えて線維抑制効果が極めて強いことがわかり(図7、8)、最近では肺線維症にも有効であることがわかってきている。 自覚症状の息切れを軽減するばかりではなく、胸部CTでの間質性肺炎に対しての有効性も評価されている。
アルコール性肝障害患者23例(男性12例、女性11例、平均年齢51.3±7.4歳)を対象として、ノブドウ抽出液製剤(ヘルシー開発社製)を1日6g連日服用し、その効果につき1カ月後の肝機能検査から検討し評価した。 投与方法は、それまで継続して投与している薬剤は変更のないままとし、ノブドウ抽出液製剤を上乗せして投与した。 4頁の図3に示すごとく、GTP・γ-GTP共にノブドウ抽出液製剤投与1か月後には、有意に改善を示した。
以上の臨床研究において、ノブドウ抽出液は現在、文明社会で問題となっているアルコール性脂肪肝に有用であるばかりではなく、脂肪肝より肝硬変へと進んでいく過程を予防する可能性を示唆する。 また、間質性肺炎患者におけるノブドウ抽出液の臨床的報告については過去になく、筆者らは間質性肺炎患者に投与し、ノブドウ抽出液の効果の評価を行っている。 その症例につき紹介する。
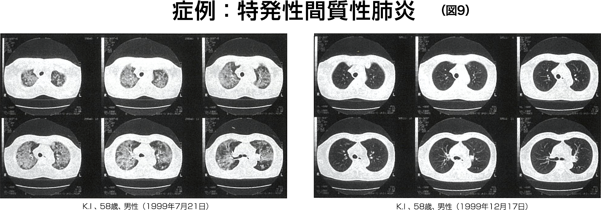
症例:59歳、男性、会社員。 病名は特発性間質性肺炎で主訴は呼吸困難である。
現病歴:1998年6月頃(57歳)より労作時の息切れと咳を認めていた。
1999年7月初旬(58歳)より呼吸困難が高度となり、獨協医科大学心血管・肺内科受診。 胸部X線写真で両側びまん性にスリガラス陰影と動脈血酸素分圧58torrの高度低酸素血症を認め、上記疾患の急性増悪との診断にて、同年9月17日緊急入院した。 入院後、酸素療法とステロイドパルス療法を行い間もなく軽快し、 同年10月19日に退院した。 以降、引き続き労作時の息切れと咳が認められたため、同年11月6日よりノブドウ抽出液製剤(ヘルシーケア開発社製)6g/日を服用開始。 外来にて経過を観察した。
約1カ月後の同年12月17日の胸部CT所見では、明らかな改善所見を示した。 約5カ月後には自覚症状もほぼ消失した。
胸部CT所見(図9):図9上段は急性増悪時のCT所見では、全肺野にスリガラス陰影が認められる。 その後、ステロイドパルス療法により軽快したが、労作時の息切れと咳が改善しないため、ノブドウ抽出液製剤の投与を開始したところ、約1カ月後の1999年12月17日の胸部CT所見を図9下段に示す。
図9上段に認められていたスリガラス陰影はほぼ消失し、明らかな改善所見を示した。 本症例で、筆者らがはじめて間質性肺炎患者にノブドウ抽出液を投与し効果を評価した。 その結果、間質性肺炎の急性増悪を乗り切った後の慢性病変に対し、有効性を示唆する結果が得られた。 今後、症例数を増やして検討することが重要であると思われる。
ノブドウ抽出液製剤投与前後の胸部CT所見
上 段:急性増悪時(1999年7月21日)
下 段:ステロイドパルス投与後のノブドウ抽出液製剤投与1カ月後(1999年12月17日)
急性期には全肺野にすりガラス陰影を認め、その後のノブドウ抽出液製剤投与後にはすりガラス陰影は消失している
一般に、脂肪肝は肥満に合併する場合とアルコール性肝障害に合併する場合があるが、アルコール性肝障害の肝細胞に沈着する脂肪のかたまり(脂肪滴)は、禁酒すると消失するといわれている。 実際の臨床の場で、禁酒に成功するには極めて困難を要する。これら脂肪肝患者には抗脂肝作用と自覚症状の軽減を期待して使用する。また、ノブドウ抽出液は臓器保護作用として線維抑制効果と抗炎症作用を有するため、肝硬変、C型肝炎をはじめとした各種ウイルス性肝炎にも有効である。 さらに、慢性に経過した間質性肺炎や肺気腫の患者には、線維抑制効果、息切れの減少を期待して使用する。これらの患者には、ノブドウ抽出液含有加工食品として2g(1包)1日1~2包の服用を勧める。
慢性疾患を対象とした場合には、服用期間中は効果が持続すると考えられる。 筆者は5年間服用を継続しても、その間効果が認められた間質性肺炎の患者を経験している。 なお、現在のところ、ノブドウ抽出液の基礎的な毒性試験および臨床上において、 特別な副作用の報告は全くみられていない。
ノブドウ抽出液の基礎的な毒性試験においては安全性が確かめられており、さらに通常使用されているノブドウ抽出液含有加工食品1日2~6gで特記すべき副作用の報告は全くない。 したがって、服用に際しての特別な注意事項はない。
まず、実際の臨床の場では使用前にノブドウ抽出液は健康補助食品であることを十分に説明してから開始する。 疾患に対しての期待した効果がなければ、まずはアドバイスとして中止を指示するが、食品であるので実際の使用継続か中止は本人に任せる。
ノブドウ抽出液服用後の患者の満足率は、肝疾患においては半数においてみられる。これには肝機能障害の改善と自覚症状(全身倦怠感、食欲不振、吐き気、浮腫)の改善の両方、どちらかが含まれる。これらの面での筆者の手応え度は、6~7割と高い、慢性肺疾患患者においては約4割が満足する。そのほとんどは息切れを中心とした自覚症状にある。1~2割が胸部X線所見で明らかな改善を経験している。筆者の手応え度は約3割である。
生活習慣病の多くは遺伝、生活環境ほか多くの原因で発症する。これらに対処するのは困難で、健康の増進や維持でノブドウ抽出液が一助になればと期待する。
※「Progress in Medicine」特集:臨床におけるサプリメント
[Ⅱ]各論:臨床におけるサプリメント;私はこのように指導する 12.ノブドウ(2004年6月号 別冊)
中元隆明、高岡聰子 14)より引用
成人病の原因の多くは栄養のかたより、運動不足、お酒の飲み過ぎなどの悪い習慣が原因でおこります。他に遺伝や有害物質などの環境が上げられますが、これらに対処していくのはなかなか困難です。
成人病は最近「生活習慣病」と云われ、その中で特に問題となる病気として細胞の硬化(線維性変化)と身体に脂肪を蓄積する病気の二つがあります。細胞の硬化が原因となる病気としては、血管の病気「動脈硬化症」、肺の病気「間質性肺炎」「肺気腫」、肝の病気「肝硬変」などがあげられます。特に肝硬変は症状がなかなか出てこなく症状が出てきたときには、すでに手遅れの場合が多く、また、治癒するのも不可能と云われています。
そして脂肪の蓄積も大きな問題の一つで細胞の硬化する病気と大きくかかわって動脈硬化、脂肪肝などの病気を引き起こします。原因として肥満、運動不足、アルコールの取りすぎなどがあげられます。
最近、話題となっている健康補助食品『野ぶどうエキス』で、細胞の硬化、脂肪の蓄積に対して興味深い効果がわかりました。特に肝臓に対しては細胞をみずみずしくしたり、脂肪を洗い流すような働きがわかり、他の臓器(血管・肺)などにも同じような効果があると期待されてます。私はこの健康補助食品を使い本論でも述べさせていただきましたように非常に良い効果を経験しました。驚異の健康補助食品だと思います。
最後にこの著書の作成に当たり数多くの資料を快くご提供いただきました高岡聡子先生に心より感謝申しあげます。
著者紹介
中 元 隆 明 〈内科、循環呼吸器内科、老年内科〉
●栃木県栃木市に生まれる(昭和21年4月20日)
●日本医科大学第一内科学教室(昭和46年卒)
●米国、ボーマングレイ医科大学心臓血管研究所 及び 心・肺疾患リハビリテーションセンターに留学
(昭和63年9/1~平成元年8/31)
日本内科学会認定内科医・指導医/日本循環器学会専門医/日本呼吸器学会専門医・指導医/
日本老年医学会老年病専門医/日本脈管学会認定脈管専門医/日本人間ドック学会認定医/日本医師会産業医
◎心筋梗塞、狭心症、心臓弁膜症、心不全などの循環器疾患患者診断と治療
◎肺気腫、肺結核、肺癌などの呼吸疾患患者の診断と治療
◎睡眠時無呼吸患者の診断と治療
◎内科、老人における各種疾患患者の診断と治療
野ぶどうエキスに関する参考文献
1)健康雑誌「私の健康」(主婦の友社刊)の特集
(1989年 10月号)<野辺の薬草「馬ぶどう」でリュウマチ・アレルギーが続々よくなっている>
(1990年6月号)<道端の薬草・馬ぶどうが肝臓にすばらしく効く>
(1992年12月号)<全国に自生する薬用植物・馬ブドウでリュウマチ・肝炎・アレルギー・膝や腰の痛みを治した20人の嬉しい体験談>
2)「野ぶどうの解説」杉靖三郎著:健康・栄養食品辞典 494(1994年 東洋医学舎)
3)「野ぶどうの話」高岡聡子(1987年9月)
4)野ぶどう成分の抗肝硬変・脂肪肝作用 80~87p
現代人と肝臓病 150万人患者に贈る最前線かんのレポート(肝炎の最新治療とノブドウ成分の抗肝硬変・脂肪肝作用)(1984年10月 毎日ライフ)
5)特許「肝硬変の予防及び治療」獨協医大・勝田南、関湊(昭和 60-7974)
6)研究報告「Ampelosis brevipedunculata (MAXIM) TRAUT V (ノブドウ)の線維形成阻害及び抗脂肝作用」
尾崎史郎、高岡聡子、小島利周:Progress in Medicine 6, 1035〜1040p(1986)
7)研究報告「のぶどう(Ampelosis brevipedunculata TRAUT V.の成分研究-葉のフラボノール配糖体について)」
加藤健、山根藤壽、森田豊:生薬学雑誌 44.138(1990年)
8)研究報告「のぶどう (Ampelosis brevipedunculata TRAUT V.の成分研究 -葉のフラボノール配糖体ほか)その2」
加藤健、山根藤壽、森田豊:生薬学雑誌 44.138(1990年)
9)研究発表「野ぶどう中に含まれる肝障抑制物質について」日本薬学会第110回年会(札幌)
伊沼達夫、伊藤健一、高倉一郎、西正敏、牧野圭祐:1990年
10)研究発表「野ぶどう (Ampelosis brevipedunculata)の成分研究」日本薬学会第110回年会(札幌)
稲田昭、中村八千代、小西麻里、巴田祐子、中西勤、北村扶佐子、戸屋治雄(1990年)
11)「肝細胞の組織培養」肝臓病学の進歩⑥ 勝田、高岡聡子、18-33p(1980年)
12)「Dexamethasone および diisopropyle-1、3-dithiol-2-ylidene malonate によるラット肝細胞来株M6のin vitoro 線維形成の抑制」
医学の歩み 117:320-321 鈴木利光、石原法子、山本一、仲間健(1981年)
13)研究報告「間質性肺炎における amperosis brevipedunculate (Maxim) Taut V.の繊維化抑制作用とその臨床効果」、「アルコール性肝障害における amperosis brevipedunculate(Maxim)Taut V.の抗脂肝作用とその臨床効果」中元隆明、高岡 総子
14)「Progress in Medicine」特集:臨床におけるサプリメント
[山各論:臨床におけるサプリメント:私はこのように指導する 12.ノブドウ(2004年6月号別刷)中元隆明、高岡総子

























